Laparoscopic approach for huge benign ovarian cyst in woman with history of previous 5 laparotomies (including 4 cesarean section)

Authors

  • Aisha Ebrahim Taraby Obstetrics and Gynecology consultant, King Abdulaziz hospital
  • Ayman Zamreek Laparoscopic General Surgery, King Abdulaziz hospital.
  • Nahla Alyawer Obstetrics and Gynecology specialist, King Abdulaziz hospital
  • Saad Alsudairy Obstetrics and Gynecology resident, King Abdulaziz hospital
  • Dalal Boogis Obstetrics and Gynecology consultant, King Abdulaziz hospital

DOI:

https://doi.org/10.23954/osj.v5i1.2232

Abstract

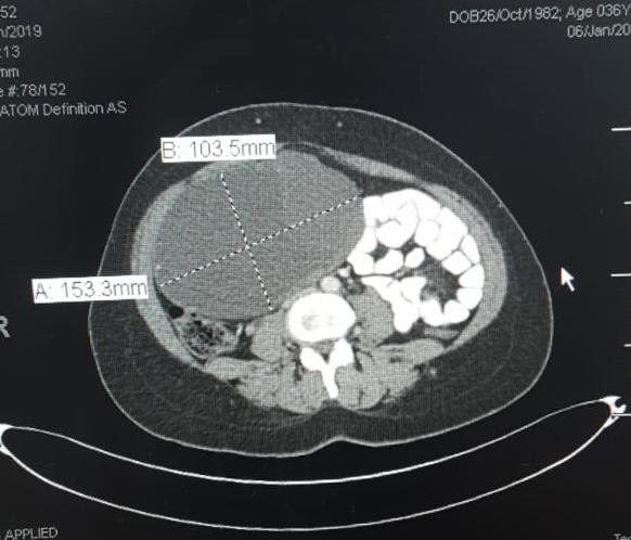
An adnexal mass (mass of the ovary, fallopian tube, or surrounding connective tissues) is a common gynecologic problem. In the United States, it is estimated that there is a 5 to 10% lifetime risk for women undergoing surgery for a suspected ovarian neoplasm. Adnexal masses may be found in females of all ages, from fetuses to older adults, and there are a wide variety of types of masses.  Today, the surgical treatment has become more conservative and less invasive; hence, a laparoscopic approach in the presence of benign cysts has become a golden standard. In the past, patients with previous abdominal surgery were discouraged from undergoing laparoscopic surgery because of its increased risk of bowel injury caused by needle and trocar insertion. Complications occur two times more frequently in patients with previous laparotomy in a study of long series. The potential risk for injury of organs adherent to the abdominal wall during veress needle or trocar insertion as well as the necessity for adhesiolysis and its attendant complications are the two major specific problems constraining surgeons from performing laparoscopic cystectomy/ oophorectomy for patients with previous abdominal surgery. Herein, we report a case of a 32-year-old woman P4 + 2 with history of previous four cesarean section and a following laparotomy for interval sterilization presented to our clinic with abdominal mass, discovered by ultrasound scan, managed by a laparoscopic approach.

Keywords: Benign ovarian cyst, laparoscopy, ovary, previous cesarean section, previous laparotomy

Author Biographies

Aisha Ebrahim Taraby, Obstetrics and Gynecology consultant, King Abdulaziz hospital

Obstetric and gynecology department,king abdulaziz hospital ,jeddah

Ayman Zamreek, Laparoscopic General Surgery, King Abdulaziz hospital.

King abdulaziz hospital,jeddah,surgical department

References

Hazim W, Roszaman R. Impact of Previous Abdominal Surgery on Laparoscopic Cystectomy/Oophorectomy Results: A Comparative Clinical Study. IMJM 2012; 11:29-2.

Tarik A, Fehmi C. Complications of gynaecological laparoscopy--a retrospective analysis of 3572 cases from a single institute. J Obstet Gynaecol 2004; 24:813-6.

Mac Cordick C, Lecuru F, Rizk E, et al. Morbidity of laparoscopy for gynecological surgery. Results of a prospective monocentre study. Surg Endosc 1999; 13:57-61.

Chapron C, Pierre F, Lacroix S, Querleu

D, Lansac J, Dubuisson JB. Major vascular injuries during gynaecologic laparoscopy.

J Am Coll Surg 1997; 185:461-5.

Brill AI, Nezhat F, Nezhat CH, Nezhat C. The incidence of adhesions after prior laparotomy: a laparoscopic appraisal. Obstet Gynecol 1995; 85:269-72.

Bieber EJ, Barnes RB. Anterior abdominal wall adhesions after laparotomy or laparoscopy. J Am Assoc Gynecol Laparosc 1997; 4:353-6.

Yeun PM, Yu KM, Yip SK, Lau WC, Rogers MS, Chang A. A randomized prospective study of laparoscopy and laparotomy in the management of benign ovarian masses. Am J Obstet Gynecol. 1997; 177:109–14. [PubMed]

Nagele F, Magos AL. Combined ultrasonographically guided drainage and laparoscopic excision of a large ovarian cyst. Am J Obstet Gynecol. 1996;175:1377–8. [PubMed]

Eltabbakh GH, Chaboneau AM, Eltabbakh NG. Laparoscopic surgery for large benign ovarian cysts. Gynecol Oncology. 2008; 108:72–6. [PubMed]

Downloads

Published

2020-03-09

How to Cite

Taraby, A. E., Zamreek, A., Alyawer, N., Alsudairy, S., & Boogis, D. (2020). Laparoscopic approach for huge benign ovarian cyst in woman with history of previous 5 laparotomies (including 4 cesarean section). Open Science Journal, 5(1). https://doi.org/10.23954/osj.v5i1.2232